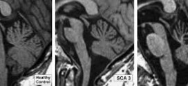
La Ataxia Espinocerebelosa (SCA3) se caracteriza por ataxia cerebelar progresiva. Como en todas las formas de ataxia, el primer síntoma normalmente es el deterioro de las capacidades para mantener el equilibrio, seguido después por incoordinación en las manos o dificultades en el habla (disartria). Algunos pacientes notan visión doble. Para el médico la apariencia de los ojos puede ser una …
Leer MásA
AMIOTROFIA BULBOESPINAL
La Amiotrofia Bulboespinal, es una enfermedad rara del grupo de enfermedades de la motoneurona, provoca atrofia muscular por afectación de la motoneurona inferior. Es una enfermedad rara de la neurona motora, de herencia recesiva ligada al X, caracterizada por una pérdida de masa muscular proximal y bulbar. Se hereda ligada al cromosoma X por lo que los pacientes son siempre …
Leer MásADRENOLEUCODISTROFIA
La Adrenoleucodistrofia por lo regular se trasmite de padres a hijos como un rasgo genético ligado al cromosoma X. Por lo tanto, afecta sobre todo a los hombres, aunque algunas mujeres portadoras pueden tener formas más leves de la enfermedad. Es una enfermedad genética ligada al cromosoma X que puede comenzar en la infancia, en la adolescencia o en la …
Leer MásALZHEIMER
La Enfermedad de Alzheimer. Demencia senil precoz originada por degeneración hialina, en forma de placas, de la corteza cerebral. Otros nombres relacionados: deterioro cognitivo, disfunción cognitiva, enfermedad de pick, corpúsculos de Lewis, demencia frontotemporal. La demencia es una pérdida de la función cerebral que se presenta con ciertas enfermedades. El mal de Alzheimer, enfermedad de Alzheimer es una forma de …
Leer MásARTRITIS ACRONOTICA
La Artritis acronótica es una enfermedad hereditaria muy rara caracterizada por una tríada típica: excreción de grandes cantidades de orina de color oscuro, ocronosis (pigmentación del tejido conjuntivo) y artrosis degenerativa de las grandes articulaciones. Es una rara enfermedad del tipo autosomal recesivo que afecta al metabolismo de la tirosina. Los pacientes que padecen de esta condición acumulan acido homogentísico …
Leer MásACROCEFALOSINDACTILIA
La Acrocefalosindactilia es una enfermedad genética hereditaria muy rara, caracterizada por craneosinostosis (cierre prematuro de las suturas), exoftalmos (protrusión anormal del globo del ojo grave), pulgares y dedos anchos y cortos, sindactilia (fusión congénita o accidental de dos o más dedos entre sí), turribraquicefalia (cabeza con vértice puntiagudo), asimetría craneofacial, hipoplasia (desarrollo incompleto o defectuoso) maxilar, hipertelorismo (aumento de la …
Leer MásARTROSIS ACRONOTICA
La Artrosis acronótica es una enfermedad hereditaria muy rara caracterizada por una tríada típica: excreción de grandes cantidades de orina de color oscuro, ocronosis (pigmentación del tejido conjuntivo) y artrosis degenerativa de las grandes articulaciones. Es una rara enfermedad del tipo autosomal recesivo que afecta al metabolismo de la tirosina. Los pacientes que padecen de esta condición acumulan acido homogentísico …
Leer MásATAXIA DE FRIEDREICH
La Ataxia de Friedreich es una enfermedad poco común que se transmite a través de las familias (hereditaria) y afecta los músculos y el corazón. La Ataxia de Friedreich es una enfermedad hereditaria que causa daño progresivo al sistema nervioso dando como resultado síntomas que varían desde perturbaciones de la marcha y problemas del lenguaje a la enfermedad cardíaca. La …
Leer MásACIDURIA HOMOGENTISICA
La Acidura Homogentísica es una enfermedad hereditaria muy rara caracterizada por una tríada típica: excreción de grandes cantidades de orina de color oscuro, ocronosis (pigmentación del tejido conjuntivo) y artrosis degenerativa de las grandes articulaciones. Es una rara enfermedad del tipo autosomal recesivo que afecta al metabolismo de la tirosina. Los pacientes que padecen de esta condición acumulan acido homogentísico …
Leer Más
La Trofología La única ciencia capaz de regenerar y devolver la verdadera salud